Porcelain veneers are a popular choice for patients seeking to enhance the appearance of their smile. These thin shells of porcelain are custom-made to cover the front surface of teeth, correcting issues such as discoloration, chips, or slight misalignments. If you're considering porcelain veneers, you likely have questions about their durability, application process, and care. This guide provides answers to some of the most common inquiries, helping you make an informed decision and achieve the smile you've always desired.
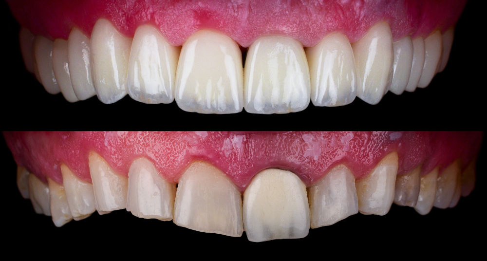
Porcelain veneers are ultra-thin shells of dental ceramic that are custom-made to fit over your natural teeth. These veneers are bonded to the front surface of your teeth, improving their appearance and solving a variety of cosmetic issues such as chipped, cracked, or discolored teeth. Whether you want to enhance your smile due to aesthetic concerns or repair damaged teeth, porcelain veneers can provide a long-lasting solution that delivers a beautiful, natural look.
The procedure for applying porcelain veneers is minimally invasive, allowing you to achieve the smile you desire without extensive dental work. This makes veneers a popular choice for individuals seeking a quick and effective cosmetic dental enhancement.
One of the most common misconceptions about porcelain veneers is that they make teeth appear unnaturally white or fake. However, this isn’t the case. Porcelain veneers can be custom-tinted to match the natural shade of your teeth. Whether you want to slightly brighten your smile or correct teeth that are too dark, veneers can provide a natural result that blends seamlessly with the rest of your teeth.
“Porcelain veneers are designed to mimic the natural translucency of your teeth, so they look incredibly lifelike. By customizing the shade to match your existing teeth, they become virtually indistinguishable from the rest of your smile.”
— Dr. Goli Ariafar, DDS
Veneers can address issues such as tooth discoloration caused by staining or previous dental work. For people who have tried other teeth-whitening treatments without success, veneers offer an effective, long-lasting solution.
Have you tried teeth whitening treatments in the past, only to find that certain teeth still appear yellow or stained? One of the major advantages of porcelain veneers is their resistance to staining. Unlike natural tooth enamel, which can absorb stains from coffee, tea, or tobacco, porcelain does not stain. This means that your veneers will maintain a bright, white appearance for years to come, even with regular consumption of staining foods and beverages.
If you enjoy coffee, wine, or other staining foods, porcelain veneers may be the perfect solution to keeping your smile bright without worrying about discoloration over time.

Porcelain veneers are not a one-size-fits-all solution. Each veneer is custom-made to fit the contours of your teeth, ensuring a precise and comfortable fit. The goal is to create a natural look that complements your existing teeth, improving their shape, size, and overall appearance.
The custom design process involves taking detailed impressions of your teeth, which are then used to craft your veneers. This allows your dentist to create veneers that not only fit perfectly but also match the natural colour and shape of your teeth. Whether you're looking to fix one or more teeth, porcelain veneers can deliver a stunning, seamless result.
“The beauty of porcelain veneers is that they can be made to fit your unique smile. They’re designed to enhance your natural teeth, creating a look that’s both beautiful and natural.”
— Dr. James C.H. Ko, DDS
One of the major advantages of porcelain veneers is that they typically require no recovery time. Unlike many dental treatments, which may require time off work or a recovery period, you can return to your normal routine immediately after your veneer application.
Most patients report little to no discomfort after the procedure, with some experiencing mild sensitivity, which typically resolves within a few hours. This makes veneers an excellent choice for people with busy schedules who don’t have time for lengthy recovery periods.
“Most patients can resume their daily activities immediately after getting veneers. There is no downtime required, which makes this a highly convenient treatment option.”
— Dr. Rob Eisen, DDS
Porcelain veneers are incredibly durable and, with proper care, can last 10 to 15 years. The ceramic material used in veneers is strong and resistant to chips and cracks. With good oral hygiene and regular dental checkups, your veneers will continue to perform well for many years, making them a long-term investment in your smile.
Research Insight:
A study published in the Journal of Prosthetic Dentistry found that porcelain veneers had a 10-year survival rate of over 90%, demonstrating their durability and longevity compared to other cosmetic dental options. (JPD, 2019)
The longevity of porcelain veneers is one of the main reasons why they are considered a worthwhile investment for those looking to improve their smile. Regular care, such as brushing and flossing, combined with periodic checkups with your dentist, will help keep your veneers in excellent condition.
Porcelain veneers can be combined with other dental solutions to achieve the best possible results. For example, if you have a cracked or chipped tooth, your dentist may recommend using veneers in conjunction with dental crowns to restore the tooth’s function and appearance. Veneers can also be combined with teeth whitening treatments to achieve a uniform and bright smile.
“Veneers can be used alongside other restorative treatments, such as crowns or fillings, to provide a comprehensive solution for patients with multiple dental issues.”
— Dr. Goli Ariafar, DDS
Your dentist will assess your specific needs and discuss the best course of action for improving the overall aesthetics and health of your smile.

At Skymark Smile Centre, we pride ourselves on providing high-quality cosmetic dental treatments, including porcelain veneers. Our team of experienced dentists will work with you to design a treatment plan that addresses your unique goals and delivers beautiful results.
If you’re considering porcelain veneers, trust the team at Skymark Smile Centre to provide the care and expertise you need to achieve your perfect smile. Contact us today to schedule a consultation and learn how veneers can transform your smile.
With proper care, porcelain veneers can last between 10 to 15 years. Regular dental checkups and good oral hygiene can extend their lifespan.
The process is typically painless, with most patients experiencing little to no discomfort. Mild sensitivity may occur immediately after the procedure, but it usually resolves within a few hours.
Veneers require the same care as natural teeth. Regular brushing, flossing, and dental checkups are essential for maintaining their appearance and longevity.
Yes, porcelain veneers can be used to correct slightly crooked or misaligned teeth, offering a quick and effective solution.