Walk into any modern dental practice in Mississauga, and you’ll quickly hear two buzzwords: Invisalign and veneers. Both can give you a better smile, but they work in very different ways. While Invisalign straightens teeth from the inside out, veneers improve the look of your smile from the outside in. Understanding their purpose helps you decide which treatment fits your goals.
Invisalign is designed to correct tooth misalignment, crowding, spacing, and bite issues. Using a series of clear, removable aligners, the treatment gradually shifts teeth into a more optimal position. It’s an orthodontic solution rather than a purely cosmetic one.
According to the Canadian Dental Association, Invisalign uses a digitally mapped treatment plan that allows patients to visualize results before starting. Aligners are replaced every one to two weeks, applying controlled pressure to achieve precise movement over time. Unlike braces, Invisalign aligners are removable, making eating, brushing, and flossing much easier.
Dr. Amir Guorgui, BSc, DMD, MACSD, explains:
“Invisalign isn’t just about straighter teeth — it’s about improving bite function, long-term oral health, and aesthetics in one comprehensive treatment. Patients often choose it because it combines science with subtlety.”
Veneers, on the other hand, are thin, custom-made shells — usually made from porcelain or composite resin — that are bonded to the front of teeth. They cover imperfections such as:
Because veneers are applied to the front surface, they can instantly transform your smile’s appearance. However, they do not correct bite or alignment issues. The goal is purely aesthetic, focusing on visual harmony rather than structural repositioning.
Dr. Rob Eisen, DDS, adds:
“Veneers are like fine tailoring for your teeth. They create the illusion of perfection and can dramatically boost confidence in just a few appointments. But they don’t replace the need for orthodontic correction when alignment is the real issue.”
In short, Invisalign moves teeth, while veneers mask imperfections. One changes the position of your teeth; the other changes their surface appearance. Think of Invisalign as orthodontics with a cosmetic benefit, and veneers as cosmetics with a structural enhancement.
Patients at Skymark Smile Centre often benefit from consultations that include digital scans and smile design simulations. This helps determine whether movement or surface correction — or both — will achieve the desired result.
| Feature | Invisalign | Veneers |
|---|---|---|
| Primary Purpose | Correct tooth alignment and bite | Improve tooth colour, shape, and surface |
| Treatment Type | Orthodontic | Cosmetic |
| Material Used | BPA-free clear thermoplastic aligners | Porcelain or composite resin shells |
| Treatment Duration | 6–18 months on average | 1–3 appointments |
| Reversibility | Fully reversible | Irreversible (requires enamel removal) |
| Maintenance | Regular cleaning and aligner hygiene | Regular brushing, flossing, and checkups |
| Immediate Results? | No, gradual improvement | Yes, instant change after placement |
| Addresses Alignment Issues? | Yes | No |
| Addresses Discolouration/Shape? | Slightly | Completely |
If your teeth are healthy but misaligned, Invisalign provides a long-term orthodontic fix. If your alignment is fine but the surface appearance bothers you, veneers offer instant visual perfection. And for patients seeking both structural and cosmetic improvement, a combined treatment plan — first Invisalign, then veneers — often produces the most natural and lasting results.

Invisalign’s strength lies in its versatility. It’s designed to correct multiple orthodontic conditions with minimal visibility and discomfort.
According to Align Technology and the Canadian Association of Orthodontists, Invisalign is effective for mild to moderate malocclusions and can even manage complex cases with attachments or elastics.
| Condition | Invisalign Effectiveness | Notes |
|---|---|---|
| Mild to moderate crowding | High | Predictable and efficient |
| Moderate spacing | High | Faster correction than braces |
| Crossbite or overbite | Moderate to high | May require additional attachments |
| Severe rotation or intrusion | Limited | May need combined orthodontic care |
In short, Invisalign excels when alignment correction is needed without the appearance of metal braces.
Veneers are ideal for cosmetic concerns that orthodontics can’t resolve. These include:
| Concern | Veneers Address Effectively | Notes |
|---|---|---|
| Discolouration | Yes | Covers deep intrinsic stains |
| Chips & cracks | Yes | Restores natural contours |
| Irregular shape | Yes | Custom sculpted for balance |
| Minor spacing | Yes | Provides seamless closure |
| Misalignment | No | Consider Invisalign first |
Veneers are the go-to solution when patients want instant, lasting cosmetic enhancement without orthodontic movement.

Time plays a critical role in maintaining stability and longevity after treatment.
After Invisalign treatment, patients wear retainers to maintain alignment. These retainers help teeth settle into their new bone-supported positions, ensuring lifelong stability. With proper retention, Invisalign results can last 10–20 years or more.
Porcelain veneers last 10–15 years, while composite veneers last 5–7 years. Their lifespan depends on oral hygiene, grinding habits, and diet. Although veneers don’t require retention, they may eventually need replacement due to wear or gum recession.
| Factor | Invisalign (with Retainers) | Veneers |
|---|---|---|
| Average longevity | 10–20 years | 10–15 years |
| Maintenance | Retainer use nightly | Regular dental checkups |
| Risk of relapse/wear | Relapse if retainers are not worn | Edge wear or staining |
| Reversibility | Yes | No (enamel removed) |
Rushing treatment can lead to instability, while carefully timed interventions preserve health and appearance. Invisalign’s gradual approach ensures structural integrity, whereas veneers provide an immediate but surface-level transformation. Both approaches, when planned properly by experienced clinicians like Dr. Guorgui and Dr. Eisen, deliver stunning, lasting smiles.
When considering smile enhancement, cost is often a key factor. Both Invisalign and veneers can deliver stunning results — but the financial investment and insurance coverage differ significantly.
According to the Canadian Dental Association and Align Technology, the overall cost of Invisalign treatment in Canada varies based on factors such as case complexity, treatment duration, and the level of orthodontic correction required. Similarly, the cost of veneers depends on the material used, the number of teeth being treated, and the level of customization.
At Skymark Smile Centre, every patient receives a personalized treatment plan and cost estimate during their consultation. This assessment considers diagnostic imaging, digital planning, laboratory tests, and follow-up care. To make treatment more accessible, the clinic offers flexible financing options that allow patients to spread the cost of Invisalign or veneers into manageable monthly payments. More details are available on the financing page:
| Factor | Invisalign | Veneers |
|---|---|---|
| Average cost (CAD) | $3,500–$8,000 (entire treatment) | $1,000–$2,500 per tooth |
| Insurance coverage | Often partially covered under orthodontic plans | Rarely covered (cosmetic only) |
| Payment flexibility | Monthly installment plans available | Typically paid per unit (per veneer) |
| Lab & material costs | Digital aligner fabrication | Porcelain/composite lab work |
| Long-term investment | May require retainer maintenance | May need replacement after 10–15 years |
Most orthodontic insurance plans cover part of Invisalign treatment, while veneers — being cosmetic — are rarely covered. However, many clinics, including Skymark Smile Centre, offer flexible payment plans or financing options to make both treatments accessible.
Long-term maintenance can make a major difference in cost, convenience, and overall oral health. Invisalign and veneers each have unique care routines to ensure lasting results.

| Maintenance Factor | Invisalign | Veneers |
|---|---|---|
| Daily cleaning | Required (aligner hygiene) | Standard brushing & flossing |
| Checkups | Every 6–8 weeks | Every 6 months |
| Replacements | Retainers every 1–2 years | Veneers every 10–15 years |
| Common issues | Aligner wear, loss, staining | Edge chipping, gum recession |
| Long-term upkeep cost | Moderate | Moderate to high |
Expert recommendation: For patients focused on ease of care, Invisalign offers greater flexibility — aligners can be removed for cleaning. Veneers require consistent protection from mechanical wear and are not reversible once placed.
The decision between Invisalign and veneers starts with understanding a patient’s oral health, smile goals, and functional needs. At Skymark Smile Centre, the evaluation process involves precise diagnostic imaging and personalized smile design planning.
Both Dr. Guorgui and Dr. Eisen emphasize the importance of comprehensive diagnostics. Their clinic employs digital scanning, CBCT imaging, and smile design software to ensure that every recommendation aligns with functional harmony and patient preference.
| Evaluation Factor | Invisalign | Veneers |
|---|---|---|
| Primary Goal | Functional & orthodontic correction | Cosmetic enhancement |
| Diagnostic Tools Used | 3D scans, bite analysis | Smile design imaging |
| Time to Results | 6–18 months | 1–3 appointments |
| Reversibility | Fully reversible | Irreversible (enamel removal) |
| Best suited for | Crowding, spacing, bite issues | Discolouration, shape flaws |
In summary, the decision-making process relies on science-backed diagnostics and patient goals. Invisalign is ideal when structural correction is needed; veneers shine when cosmetic artistry takes centre stage. Many patients benefit from combining both for the most natural, harmonious result.
When it comes to lifestyle compatibility, the daily comfort and convenience of your smile treatment matter just as much as the final result. Invisalign and veneers each offer unique advantages, depending on your eating habits, comfort preferences, and maintenance routines.
Invisalign offers unmatched flexibility because the aligners are removable. You can take them out for meals, so there are no dietary restrictions — corn on the cob, apples, or steak are all fair game. However, aligners must be worn for 20–22 hours daily to remain effective. Skipping wear time can delay progress.
Veneers, by contrast, are permanently bonded to your teeth. There are no removable parts, and once placed, you can eat as usual — but you must avoid biting hard objects, as porcelain can chip. Veneers also provide constant comfort since there’s no plastic covering your teeth.
Forum reviews on RealSelf Canada show that Invisalign users appreciate flexibility and discretion, while veneer patients value instant results and the “always-ready” smile that requires no daily removal or tracking.
| Lifestyle Factor | Invisalign | Veneers |
|---|---|---|
| Eating | Remove aligners before meals | Eat normally, avoid hard foods |
| Comfort | Smooth plastic, no wires | Feels natural after bonding |
| Maintenance | Daily cleaning, aligner storage | Standard brushing, flossing |
| Removability | Fully removable | Permanent |
| Social comfort | Invisible during wear | Constantly photo-ready |
| Best for | Active individuals, frequent travellers | Professionals seeking instant perfection |
In essence, Invisalign is better suited to patients who want flexibility, while veneers suit those who prefer immediate, effortless beauty.
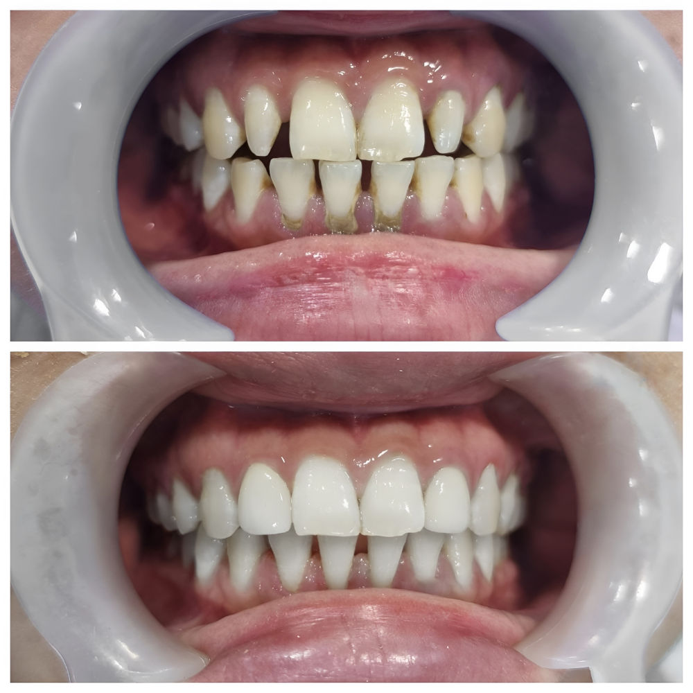
img
For patients seeking rapid results, dentists evaluate timeline, goals, and oral health before recommending a solution. Both Invisalign and veneers can deliver transformations, but the pace and process differ.
| Goal | Recommended Treatment | Timeframe | Notes |
|---|---|---|---|
| Whiter, flawless smile | Veneers | 2–4 weeks | Instant results, minimal prep time |
| Aligned, healthy bite | Invisalign | 6–18 months | Gradual correction for lasting outcome |
| Both correction and aesthetics | Combined approach | 6–18 months + veneer placement | Comprehensive transformation |
Ultimately, for speed alone, veneers win. For balanced, healthy beauty, Invisalign lays the groundwork for lasting perfection.
By now, it’s clear that both treatments serve different purposes — one perfects alignment, the other perfects appearance. But when choosing between them, understanding speed, suitability, and expected outcomes is crucial.
| Criteria | Invisalign | Veneers |
|---|---|---|
| Purpose | Straightens teeth and corrects bite | Enhances colour, shape, and surface |
| Treatment Duration | 6–18 months | 2–4 weeks |
| Maintenance | Requires retainer use | Regular checkups only |
| Comfort | Removable and gentle | Permanent and natural-feeling |
| Longevity | 10–20 years (with retainers) | 10–15 years |
| Insurance Coverage | Often partially covered | Rarely covered |
| Immediate Results | No (gradual) | Yes (instant) |
| Best For | Alignment, crowding, bite issues | Cosmetic enhancement, chips, stains |
Invisalign moves teeth to correct alignment and bite, while veneers cover the front surface of teeth to improve colour, shape, and cosmetic imperfections. Invisalign is an orthodontic treatment; veneers are a cosmetic restoration.
For true misalignment, Invisalign is usually the better choice because it corrects tooth position and bite. Veneers can mask minor cosmetic irregularities, but they don’t fix underlying alignment or functional bite problems.
Yes. A common approach is to use Invisalign first to align the teeth, followed by veneers to refine the final shape, colour, and symmetry. This often yields the most natural-looking result because veneers can be more conservative when teeth are already properly positioned.
Invisalign typically takes 6–18 months, depending on complexity. Veneers can often be completed in 1–3 appointments (often within a few weeks), since results are immediate after bonding.
In Canada, Invisalign often ranges from $3,500 to $8,000 for the full treatment. Veneers commonly range from $1,000 to $2,500 per tooth, depending on the materials and complexity. The total cost depends on how many teeth are being treated.
Invisalign requires daily aligner hygiene during treatment and long-term retainer wear to maintain results. Veneers require standard brushing/flossing plus avoiding excessive force (and sometimes a nightguard for grinders); they may need replacement over time.
Veneers are generally not reversible because enamel is often modified to place them. Invisalign is considered reversible (teeth can drift back without retainers, but the aligners themselves don’t permanently remove tooth structure).